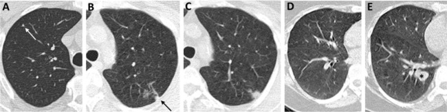
Abstract
In this narrative review, we address the ongoing challenges of lung cancer (LC) screening using chest low-dose computerized tomography (LDCT) and explore the contributions of artificial intelligence (AI), in overcoming them. We focus on evaluating the initial (baseline) LDCT examination, which provides a wealth of information relevant to the screening participant’s health. This includes the detection of large-size prevalent LC and small-size malignant nodules that are typically diagnosed as LCs upon growth in subsequent annual LDCT scans. Additionally, the baseline LDCT examination provides valuable information about smoking-related comorbidities, including cardiovascular disease, chronic obstructive pulmonary disease, and interstitial lung disease (ILD), by identifying relevant markers. Notably, these comorbidities, despite the slow progression of their markers, collectively exceed LC as ultimate causes of death at follow-up in LC screening participants. Computer-assisted diagnosis tools currently improve the reproducibility of radiologic readings and reduce the false negative rate of LDCT. Deep learning (DL) tools that analyze the radiomic features of lung nodules are being developed to distinguish between benign and malignant nodules. Furthermore, AI tools can predict the risk of LC in the years following a baseline LDCT. AI tools that analyze baseline LDCT examinations can also compute the risk of cardiovascular disease or death, paving the way for personalized screening interventions. Additionally, DL tools are available for assessing osteoporosis and ILD, which helps refine the individual’s current and future health profile. The primary obstacles to AI integration into the LDCT screening pathway are the generalizability of performance and the explainability.
Citation
G. R. De Luca, S. Diciotti, and M. Mascalchi, “The Pivotal Role of Baseline LDCT for Lung Cancer Screening in the Era of Artificial Intelligence,” Archivos de Bronconeumología, vol. 61, no. 6, pp. 359–367, June 2025, doi: 10.1016/j.arbres.2024.11.001.
@article{DELUCA2025359,
title = {The Pivotal Role of Baseline LDCT for Lung Cancer Screening in the Era of Artificial Intelligence},
journal = {Archivos de Bronconeumología},
volume = {61},
number = {6},
pages = {359-367},
year = {2025},
issn = {0300-2896},
doi = {https://doi.org/10.1016/j.arbres.2024.11.001},
url = {https://www.sciencedirect.com/science/article/pii/S0300289624004393},
author = {Giulia Raffaella {De Luca} and Stefano Diciotti and Mario Mascalchi},
keywords = {Artificial intelligence, Low-dose computed tomography, Lung cancer, Screening}}
